Diagnostik und Therapie des Chondrosarkoms
Unter den seltenen primär malignen Knochentumoren sind Chondrosarkome mit einem Anteil von etwa 20 % die zweithäufigste Entität nach dem Osteosarkom. Im Gegensatz zu Osteo- und Ewing-Sarkomen tritt das Chondrosarkom jedoch besonders häufig im Erwachsenenalter auf. Die primäre Diagnostik beinhaltet neben der vollständigen bildgebenden Aufarbeitung (Röntgen, CT, MRT) auch zwingend eine bioptische Sicherung und histopathologische Beurteilung. Nach Diagnosestellung erfolgt das Tumor-Staging, das sowohl als Grundlage für die Erstellung eines Behandlungsplanes als auch für die Abschätzung der Prognose des Patienten dient. Therapie der Wahl bei Chondrosarkomen ist in der Regel die chirurgische Resektion; diese besteht meist in einer weiten Tumorresektion mit anschließender biologischer oder endoprothetischer Rekonstruktion. Da Rezidive und Fernmetastasen auch Jahre nach Erstdiagnose auftreten können, ist eine entsprechende Tumornachsorge obligat. Wie bei allen Sarkomen ist auch bei Chondrosarkomen eine frühe Diagnosestellung und Behandlung an einem spezialisierten Sarkomzentrum eng mit der Prognose des Patienten vergesellschaftet.
Chondrosarkom, Histopathologie, Grading, weite Resektion, klarzelliges Chondrosarkom, mesenchymales Chondrosarkom, de-differenziertes Chondrosarkom
Definition, Epidemiologie und Klassifikation
Primär maligne Knochentumoren sind ausgesprochen selten und machen nur etwa 0,2 % aller Malignome des Menschen aus [1]. Chondrosarkome bilden insgesamt unter den Knochensarkomen mit etwa 20 % (Inzidenz ca. 3/100.000 Einwohner/Jahr) die zweithäufigste Entität hinter dem Osteosarkom [2, 3, 4]. Der Erkrankungsgipfel liegt hierbei im fünften bis sechsten Lebensjahrzehnt.
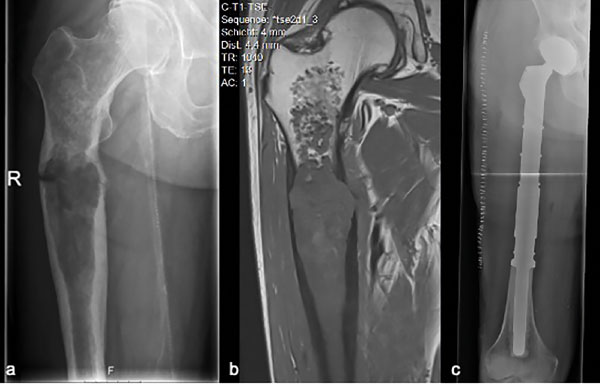
Bei Chondrosarkomen handelt es sich um maligne Tumoren mit hyalin-knorpeliger Differenzierung, bei denen neben der chondroiden Matrix auch myxoide Veränderungen sowie Kalzifikationen oder Verknöcherungen vorliegen können [2]. Neben ihrer morphologischen Heterogenität können Chondrosarkome – wie alle chondrogenen Tumoren – auch hinsichtlich ihrer Klinik und Bildgebung sehr unterschiedliche Erscheinungsbilder zeigen (Abb. 1).
Für die Klassifikation bzw. Subtypisierung bei Chondrosarkomen sind vor allem die folgenden Parameter von Bedeutung:
- Lage zum Knochen (zentral = im Knochen versus peripher = auf Knochenoberfläche),
- primäre oder sekundäre Entstehung sowie
- histopathologische Charakteristika (Differenzierung, Mitoserate etc.).
Primäre Chondrosarkome sind dadurch definiert, dass sie sich de novo im Knochen selbst entwickeln, während sekundäre Chondrosarkome auf dem Boden präexistenter (gutartiger) Knochenläsionen wie Enchondromen oder Osteochondromen entstehen (Abb. 1).