Startseite
Krebsmedizin
Startseite Startseite MyTrillium MyTrillium
  • Startseite
  • Biomarker in der Onkologie
  • Statistik in der Medizin
  • CME-Portal
  • Zeitschriften
    • Trillium Diagnostik
      • Aktuelle Ausgabe
      • Trillium Digitale Pathologie Sonderausgabe
      • Trillium Diagnostik Ausgaben 2025
      • Bestellung
      • Archiv
      • Fachbeirat
      • Themenvorschau
      • Mediadaten
      • Partnerverbände
    • Trillium Krebsmedizin
      • Aktuelle Ausgabe
      • Bestellung
      • Archiv
      • Fachbeirat
      • Themenvorschau
      • Mediadaten
      • Unsere Partner
    • Trillium Immunologie
      • Archiv
      • Bestellung
    • Trillium Extracellular Vesicles
    • Trillium Pathology
  • Marktübersichten
  • Fachbereiche
    • Hämatologie & Hämostaseologie
      • Hämostaseologie
      • Hämatologie
    • Humangenetik & Seltene Erkrankungen
    • Immunologie
    • Klinische Chemie & Immundiagnostik
    • Management & IT
    • Mikrobiologie & Virologie
    • Onkologie & Hämatoonkologie
      • Leukämien und Lymphome
      • Solide Tumoren
    • Pathologie
    • Transfusions- & Transplantationsmedizin
  • Akademie
    • CME-Portal
      • Kastrationsresistentes Prostatakarzinom - Therapie mit PARP-Inhibitoren in der metastasierten Situation | Übersicht
      • Fortschritte in der Therapie des mutierten NSCLC - Aktuelle Standards und zukünftige Perspektiven | Übersicht
      • Frühes nichtkleinzelliges Lungenkarzinom - Molekulare Testung und Beurteilung des Therapieansprechens | Übersicht
      • CME-Fragebogen: Frühes nichtkleinzelliges Lungenkarzinom - Molekulare Testung und Beurteilung des Therapieansprechens
      • Nichtkleinzelliges Lungenkarzinom (NSCLC) im Stadium I bis III - Präzisere Therapie durch exaktes Staging gemäß der aktuellen TNM-Klassifikation - Übersicht
      • Optionen für die nicht intensive Krankheitskontrolle bei unfitten AML-Patienten - Übersicht
      • Diagnostik von Hämoglobinopathien - Übersicht
      • Das Komplementsystem – Die unterschätzte Kraft in der Immunologie - Übersicht
      • Therapie des metastasierten kolorektalen Karzinoms – Aktuelle Standards und zukünftige Perspektiven - Übersicht
    • Workshops
    • Onkologisches Symposium 2026
    • IVD-Symposium 2026
      • Anmeldung
    • ISOBM Conference 2025
      • ISOBM Conference Program
      • Registration
      • Registration Information
      • Abstract Submission
      • CME Points & Conference Materials
      • Travel & Accomodation
      • Sponsors & Transparency
      • Industry Exhibition
      • Terms and conditions
    • Trillium Akademie Software
    • Trillium Akademie Kontaktformular
  • Services
    • Mediathek
    • Biostatistik in der Medizin
    • Biomarker in der Onkologie
    • Veranstaltungskalender
    • Stellenmarkt
    • Newsletter
    • Mediadaten
    • Software
    • Suche
  • MyTrillium
MyTrillium MyTrillium
Anmelden
Passwort vergessen?
  • Registrieren
  • Über MyTrillium
MyTrillium
Angemeldet als
  • Registrieren
  • Über MyTrillium
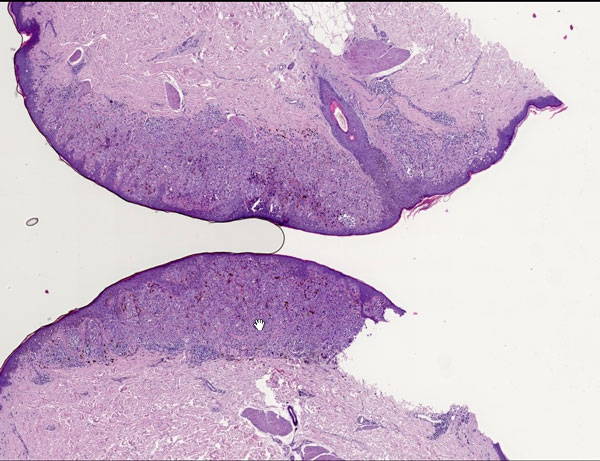
Zeitschriften > Trillium Krebsmedizin > Heft 3/2017 > Editorial: Die Dermato-Onkologie - eine Erfolgsgeschichte > Digitale Pathologie Melanom
Digitale PAthologie: Melanom Mit freundlicher Genehmigung von PreciPoint GmbH www.precipoint.de Klicken Sie auf das Bild, um zu zoomen
Trillium Newsletter

CME-Artikel & aktuelle Therapie-Updates zur Onkologie

  • Exklusive Inhalte nur für Fachkreise
  • CME-zertifizierte Fortbildungsartikel
  • Symposiums-Rabatte für Abonnenten

Der Trillium-Verlag steht für hochwertigen Fachjournalismus und praxisorientierte Fortbildung in der Medizin. Mit seinen Zeitschriften setzt sich der Trillium-Verlag für eine fundierte Berichterstattung über aktuelle Entwicklungen in Forschung, Diagnostik und Therapie ein.

Kontakt

Trillium GmbH
Medizinischer Fachverlag
Jesenwanger Straße 42 b
D-82284 Grafrath

Telefon: +49 (0)8144-93 90 5-0 
Telefax: +49 (0)8144-93 90 5-29 

E-Mail: info[at]trillium[dot]de

Zeitschriften

  • Trillium Diagnostik
  • Trillium Krebsmedizin
  • Trillium Immunologie
  • Trillium Extracellular Vesicles
  • Trillium Pathology
  • Mediadaten

Services

  • Akademie
  • Marktübersichten
  • Biomarker in der Onkologie
  • Über uns
  • Kontakt
  • Impressum
  • Datenschutz
  • Barrierefreiheit